P R O T E T Y K A   S T O M A T O L O G I C Z N A
(strona 2/3)

Uzupełnianie ruchome stosujemy przy rozległych brakach zębowych, gdy nie ma możliwości zastosować uzupełnień stałych, lub gdy pacjent nie decyduję się na szlifowanie własnych zębów, czy zastosowanie implantów.

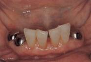
Protezy szkieletowe - stosujemy przy częściowo zachowanych zębach. Proteza wykonana jest ze specjalnego stopu metalu lub złota. W jamie ustnej utrzymuje się na zębach przy pomocy indywidualnie zaprojektowanych klamer.

Proteza szkieletowa górna

Proteza szkieletowa dolna

Klamra utrzymująca protezę w ustach

Aby poprawić estetykę uzupełnienia i zwiększyć komfort użytkownika protezy ruchomej stosujemy różnego rodzaju elementy retencyjna takie jak : korony teleskopowe, zatrzaski, zasuwy, belki, magnesy. Elementy takie pozwalają na zrezygnowanie z tradycyjnych klamer, co jest ważne zwłaszcza w odcinku przednim uzębienia.

Protezy szkieletowe z zatrzaskami Ceka.

Jeden element zatrzasku zamontowany jest w protezie, a drugi znajduje się przy koronach zblokowanych, zacementowanych na stałe w jamie ustnej.

Proteza szkieletowe z zasuwami.

Zasuwa - umieszczona z boku korony protetycznej zastępuje klamrę, jest całkowicie niewidoczna po założeniu protezy.

Proteza z belką międzykorzeniową

Belka międzykorzeniowa osadzona na wkładach korzeniowych w 2 zębach - stanowi zaczep dla protezy całkowitej.

Zaczepy magnetyczne

Aby zastosować zaczep magnetyczny, należy wykonać wkłady korzeniowe pokrywające powierzchnię korzenia ze specjalnego stopu magnetycznego. Magnesy umieszcza się w protezie pokrywającej Metalowe nakłady korzeniowe. Gwarantuje to dobre utrzymanie protezy i estetykę ( brak widocznych klamer).

Protezy całkowite - stosowane przy całkowitym bezzębiu lub jako protezy pokrywające przy zachowanych kilku zębach, które można wykorzystać jako dodatkowe elementy retencyjne ( zatrzaski korzeniowe, magnesy ).

Zacementowane w korzeniach
zaczepy kuliste

Druga część elementu retencyjnego
umieszczona jest w protezie

Aby efekt leczenia protetycznego był trwały i satysfakcjonujący należy przeprowadzić wstępne leczenie przygotowawcze. Czasami wskazane jest wykonanie koron protetycznych.

Przed wykonaniem ruchomych protez szkieletowych zazwyczaj wystarczy usunąć kamień i osady nazębne oraz wyleczyć próchnicę.

Przed wykonaniem mostów, koron, uzupełnień złożonych konieczne jest wcześniejsze przeleczenie endodontyczne zębów filarowych tzn. tych, na których będą zacementowane korony i mosty. Leczenie endodontyczne wykonuje się, aby uniknąć późniejszych powikłań po zacementowaniu uzupełnienia.

W trudnych przypadkach, gdy występują zaburzenia czynnościowo - zgryzowe, wady zgryzu lub objawy choroby przyzębia, podejmuje się leczenie wielospecjalistyczne; ortodontyczne , periodontologiczne i  chirurgiczne.



<<- pierwsza strona | <- poprzednia strona | następna strona -> | ostatnia strona ->>